array(2) { ["flag"]=> string(4) "m164" ["title"]=> string(115) "کشیدن دندان چگونه است؟آیا میتوان همزمان با کشیدن ایمپلنت کاشت؟" }

دندانپزشک ابتدا عکس پرتوی ایکس از دهان میگیرد تا بر اساس موقعیت دندان و ساختارهای پیرامون، برای بهترین روش درمانی برای کشیدن دندان تصمیم گیری نماید. سابقه پزشکی و دندانپزشکی خود را در اختیار دندانپزشک قرار دهید و فهرست کاملی از تمام داروهایی که مصرف میکنید بنویسید. منظور از داروها تمامی داروهای تجویزی و غیر تجویزی، گیاهان دارویی، ویتامینها و مکمل ها میباشد.
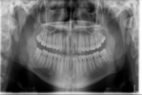
در صورتی که قصد دارید دندان عقل خود را بکشید ممکن است ابتدا عکس پرتوی ایکس پانورامیک گرفته شود.

درعکس پانورامیک یک عکس از تمامی دندانها گرفته میشود تا موارد زیر مشخص شود:

برخی از دندانپزشکان ممکن است برای پیشگیری از عفونت، پیش از جراحی و پس از آن آنتی بیوتیک تجویز نمایند. مصرف آنتی بیوتیک برای افراد زیر میباشد:
بی حسی به ناحیه مورد نظر تزریق میشود. در صورتی که برای این منظور نیاز به بیهوشی عمومی وجود داشته باشد دستورالعمل آن به شما داده میشود. شش تا هشت ساعت پیش از عمل نباید چیزی بخورید یا بیاشامید.

در صورتی که ظرف یک هفته پیش از جراحی سرما خوردگی، آبریزش بینی یا سرفه داشته اید با پزشک خود تماس بگیرید چرا که ممکن است تا زمان برطرف شدن کامل بیماری از استفاده از بی حسی برای شما هم اجتناب نماید. در صورتی که شب پیش از کشیدن دندان، حالت تهوع و استفراغ داشته اید صبح حتما پیش از هر کار با دندانپزشک خود تماس بگیرید چرا که ممکن است تغییری در برنامه ایجاد شود.
در روز جراحی نباید سیگار بکشید چرا که این امر خطر مشکلات دردناک مانند خشکی حفره دندان را افزایش میدهد. پس از کشیدن دندان ممکن است بهتر باشد از کسی بخواهید شما را به منزل برساند.

کشیدن دندان به دو شکل ممکن است انجام شود:


در موارد ساده کشیدن دندان میتوان با استفاده از اندکی بی حسی موضعی کار را تمام کرد. در موارد کشیدن دندان با روش جراحی از مواد بی حسی قویتری استفاده میشود. ممکن است برخی افراد نیاز به بیهوشی عمومی داشته باشند از جمله افرادی که شرایط پزشک خاصی دارد و دچار مشکلات ذهنی یا رفتاری هستند و یا کودکان کم سن.
در حین کشیدن دندان ممکن است کمی احساس فشار در دهان خود داشته باشید اما هیچ دردی احساس نمیکنید.

دستور العمل کامل را دندانپزشک به اطلاع شما میرساند. به طور کلی هر زمانی هر سوالی که داشتید حتماً با دندانپزشک خود تماس بگیرید. در صورتی که کشیدن دندان با عمل جراحی انجام شده باشد باید پس از برطرف شدن تاثیر بی حسی، کمی احساس ناراحتی و درد را انتظار داشته باشید که معمولاً خفیف است. تحقیقات نشان داده اند مصرف داروهای ضد التهاب غیر استروئیدی مانند ایبوپروفن پس از کشیدن دندان تا حد قابل توجهی میتواند درد را آرام نماید. معمولاً دارو طبق دستور پزشک سه یا چهار مرتبه در روز استفاده میشود و دوز اول آن پیش از برطرف شدن تاثیر بی حسی باید مصرف شود. مصرف داروهای مسکن غالباً تا سه روز ادامه دارد.



کشیدن دندان با عمل جراحی مسلماً ناراحتی بیشتری در مقایسه با کشیدن ساده دندان ایجاد میکند. میزان ناراحتی و طول مدت آن بستگی به سختی کشیدن دندان دارد.
برشی که در لثه ایجاد شده، ممکن است خونریزی بیشتری در مقایسه با بریدگیهای پوست ایجاد نماید چرا که محیط دهان خشک نمیماند و دائماً مرطوب میشود بنابراین تشکیل دلمه روی زخم دیرتر انجام شود. پس از کشیدن دندان از شما خواسته میشود به مدت 20 تا 30 دقیقه یک پد گاز استریل را گاز بگیرید. این فشار باعث میشود خون لخته شود. با این حال ظرف بیست و چهار ساعت اول کمی خونریزی را تجربه خواهید کرد. مراقب باشید لخته خون تشکیل شده بر روی زخم را نکَنید.
میتوانید از کمپرس یخ بر روی صورت استفاده کنید تا تورم کاهش پیدا کند. معمولاً باید یخ پیچیده شده در داخل دستمال را به مدت 20 دقیقه بر روی صورت بگذارید و سپس به مدت 20 دقیقه آن را بردارید. در صورتی که سفتی و درد فک را پس از برطرف شدن تورم تجربه میکنید، میتوانید کمپرس گرم (کیسه آب گرم) را امتحان کنید.
ظرف چند روز اول پس از کشیدن دندان غذاهای نرم و خنک مصرف کنید.
با محلول آب نمک ولرم دهان خود را با ملایمت شست و شو دهید. این کار را باید 24 ساعت پس از جراحی شروع کنید تا ناحیه زخمی دهان تمیز بماند. برای تهیه محلول آب نمک، نصف قاشق چایخوری نمک را در یک لیوان آب حل کنید. بیشتر تورم و خونریزی ظرف روز اول یا دوم پس از جراحی برطرف میشود اما بهبودی حداقل دو هفته طول میکشد.

در صورتی که نیاز به بخیه وجود داشته باشد ممکن است دندانپزشک از بخیه های قابل جذب برای شما استفاده کند. معمولاً ظرف یک تا دو هفته بخیه ها جذب میشوند. شست و شوی دهان با محلول آب نمک گرم به حل شدن بخیه ها کمک میکند. در صورتی که بخیه قابل جذب نباشد باید برای کشیدن آن به دندانپزشک مراجعه کنید. پس از جراحی نباید سیگار بکشید، تف کنید یا نوشیدنی با نی مصرف کنید. این کارها ممکن است باعث کنده شدن لخته خون از حفره دندان شود. به مدت 24 ساعت تا 72 ساعت پس از کشیدن دندان نباید سیگار بکشید.
در اکثر مواقع میتوان در زمان کشیدن دندان همزمان ایمپلنت را کاشت که مراحل جراحی را کم میکند.
در مطب تخصصی ایمپلنت گیشا کلیه مراحل درمان ایمپلنت توسط بهترین متخصص ایمپلنت در غرب تهران (دکتر عزیز گشاده رو متخصص پروتز دندانی و ایمپلنت در غرب تهران، استاد دانشگاه شهید بهشتی، رتبه اول بورد تخصصی کشور) با بهترین برند های ایمپلنت دنیا انجام میگیرد .
در مرکز تخصصی ایمپلنت گیشا از برند خاص ایمپلنت برای افراد خاص مثل دیابت و پوکی استخوان استفاده میشود که موفقیت درمان ایمپلنت را خیلی بیشترمیکند .
ایمپلنت هایی که در مرکز تخصصی ایمپلنت گیشا کارگذاشته میشوند به مدت ده سال تضمین میشوند.
درمان های تخصصی دندانپزشکی در مطب ما توسط بهترین متخصصین تهران و اساتید دانشگاه انجام می گیرد.